分享成功

【雁医技术】“一针定性”:超声引导下肝组织穿刺活检术

本文已经收录在专题:

 

超声引导下肝组织穿刺活检术

“一针定性”

 

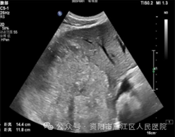
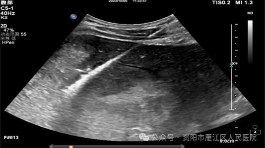
近日,56岁的李大叔因“右上腹疼痛20+天”入住我院。入院后查腹部增强CT:肝脏内结节、团块状稍低密度影,考虑肿瘤性病变。遂请超声科会诊, 腹部普通肝脏彩超提示:肝右叶实性占位,考虑肿瘤性病变可能。

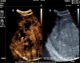
超声造影:肝右叶实性占位性病变,考虑肝细胞Ca可能性大。

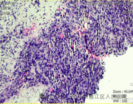
为进一步明确肝右叶病变的病理类型,遂行超声引导下肝肿物穿刺活检:

穿刺过程十分顺利,术后患者恢复良好,无明显不适症状。穿刺活检术后病理结果:考虑为低分化肝细胞癌(WHO III级)。为制定下一步治疗方案提供了重要依据。

 超声引导下肝穿刺活检,可以准确定位肝内穿刺部位,对肝脏病变组织穿刺,取得活体肝组织标本,进行病理学诊断,可作为肝占位及肝内弥漫性病变诊断的“金标准”,不仅可以判断肝占位类型、分化程度、免疫组化等,更有助于评估是否用药敏感,实现对患者的“个体化”治疗。

 

如何进行肝穿刺活检?

常规消毒铺巾,在超声实时引导下,经皮局部麻醉至肝包膜下,避开肝脏大血管和胆管、肾脏、肠管等危险部位;穿刺进入目标,激发穿刺枪,取得活检组织条,以福尔马林固定,送病理检查。

肝穿刺临床运用的意义

肝脏弥漫性病变时,可了解肝损害程度,明确病因;明确肝炎炎症分级及纤维化程度分期。

01

02

明确肝局灶性病变的性质、病理类型及分化程度等。

有利于药物的选择和药物的疗效判断,避免盲目给药。

03

04

不仅可进行组织穿刺取材,还可以开展介入性治疗(如超声引导下肝肿瘤射频或微波消融),做到诊断治疗两不误。

评价射频、微波等各种微创治疗的疗效。

05

 

1

各种影像学检查无法确诊或临床表现与检查结果不一致的肝内局灶性病变。

2

肝硬化背景下不能排除的恶性结节性病变。

3

首恶性肿瘤病理需要了解组织学类型、分级、肿瘤分子标记,帮助确定诊疗方案及指导化疗、消融后续治疗的肝内肿瘤病变。

4

首原发灶不明的肝内转移性病变。

5

肝移植后排斥反应或原因不明的肝脾肿大或肝功能异常;原因不明的黄疸且已排除肝外胆道梗阻者;慢性肝炎随访病情或判断疗效;疑有弥漫性肝病或全身系统疾病需明确病因。

6

长期追踪但影像学检查不能确诊的良性病灶,患者要求明确病理诊断者。

7

手术未取活检或活检失败者。

 

超声科全体同仁

将以精湛的技术为基础

以优质的服务为载体

全心全意为患者服务

资阳市雁江区人民医院超声科近两年已成功开展超声引导下肝脏占位、肺占位、甲状腺结节、乳腺结节、全身体表包块、淋巴结等穿刺活检、超声引导下经皮肝内胆管穿刺置管引流术(PTCD),超声引导下经皮经肝胆囊穿刺置管术(PTGBD)及各种囊肿、脓肿置管引流术上千例,技术成熟,欢迎广大病员及感兴趣的朋友前来咨询。

咨询电话:魏德强科主任:18982989389

严仕君副主任医师:18982989227

李红英主治医师:18090600213

医生介绍

魏德强

副主任医师/超声科主任

资阳市雁江区人民医院超声科主任,资阳市超声专委会副主任委员,资阳市超声质控分中心委员,资阳市雁江区超声质控站站长,本科学历,曾先后于内江市第一人民医院、西南医科大学附属中医医院及华西医科大学附属医院超声科进修学习。

擅长:心血管、腹部、甲状腺、乳腺等器官系统疾病超声诊断及介入诊治。

咨询电话:18982989389

 

严仕君

副主任医师

严仕君:前后曾多次在四川大学华西医院及四川省肿瘤医院进修学习,于腹部、甲状腺、乳腺等器官系统疾病超声诊断及介入诊治方面积累丰富经验。

咨询电话:18982989227

李红英

主治医师

李红英:前后曾多次在四川大学华西医院及四川省肿瘤医院进修学习,于腹部、甲状腺、乳腺等器官系统疾病超声诊断及介入诊治方面积累丰富经验。

咨询电话:18090600213

 

供稿:雁江区人民医院 超声科
编辑:谢馨
审核:魏德强

 

本文由用户发表,为作者观点,不代表九曲河立场
支持楼主

12人支持

阅读原文 阅读 77335 回复 32
举报
全部评论
  • 默认
  • 最新
  • 楼主
  • 今生欢喜 LV6 三贤贡士
    2楼
    肝对人很重要
    3-19 11:47 · 四川
    回复
  • 鸡翅神勇 LV6 三贤贡士
    3楼
    区医院在沱东的位置特别好
    3-19 11:49 · 四川
    回复
  • 李子lh LV14 三贤七品
    4楼
    技术进步
    3-19 12:36 · 四川
    回复
  • 李子lh LV14 三贤七品
    5楼
    保重身体很重要
    3-19 12:37 · 四川
    回复
  • 李子lh LV14 三贤七品
    6楼
    加强锻炼,最好别进医院
    3-19 12:37 · 四川
    回复
  • 如约而至 LV16 三贤五品
    7楼
    医疗技术在进步
    3-19 13:53 · 四川
    回复
  • 阳光明睸 LV13 三贤八品
    8楼
    技术可以
    3-19 19:58 · 四川
    回复
  • 霸道[SHEN.X.S) LV14 三贤七品
    9楼
    医学发展服务人民
    3-19 20:10 · 四川
    回复
  • 风雪夜归人 LV14 三贤七品 回复达人
    10楼
    技术不错
    3-19 20:47 · 四川
    回复
  • 风雪夜归人 LV14 三贤七品 回复达人
    11楼
    医术精湛
    3-19 20:47 · 四川
    回复
你的热评
游客
发表评论
最热资阳圈
  • 天天签到,领取专属福利#签到打卡#

    未佬的佬人

    0
  • #签到打卡#太阳当空照,……

    林玩子

    0
  • 天天签到,领取专属福利#签到打卡#

    未佬的佬人

    0
热点推荐

安装应用

摆资阳龙门阵,结交新朋友

免费下载九曲河门户网
这是app专享内容啦!
你可以下载app,更多精彩任你挑!
绑定手机才能继续哦!
绑定手机账号更安全哦!
绑定手机才能继续哦!
绑定手机账号更安全哦!