分享成功

口臭(洁牙)、老年口腔、中医口腔门诊即将开诊!雁江区人民医院呵护您的牙齿健康~

本文已经收录在专题:

 

 牙齿矫正
   健康口腔
健康体魄
-3.20 世界口腔健康日-

3月20日是世界口腔健康日

今年的主题是“健康口腔 健康体魄”

希望大家都能一起认识

呵护牙齿和牙龈的重要性~

资阳市“皓齿”健康工程

3.20世界口腔健康日系列活动

3月14日

资阳市雁江区人民医院口腔科副主任医师付冬梅作为特邀嘉宾之一,做客“健康体魄 皓齿同行”资阳市世界口腔健康日线上专家科普专场直播间,为广大网友线上普及口腔健康知识,解答大家在口腔保健方面的疑惑。

 

付冬梅医师的专业建议得到了市民网友们的一致好评,直播浏览量高达20.94万!展现了资阳市雁江区人民医院在口腔医疗领域的专业实力和人文关怀~

3月17日

资阳市雁江区人民医院口腔科医护人员参加“健康体魄 皓齿同行”资阳市世界口腔健康日集中宣传展示活动,为广大市民朋友提供了免费的义诊及咨询服务。

 

 

牙齿

作为我们面部形象的“门面担当”

不仅影响着我们的笑容是否灿烂

更关系到我们的口腔健康

今天,就让我们一起来聊聊

牙齿矫正那些事儿!

 

正畸"重获新生"

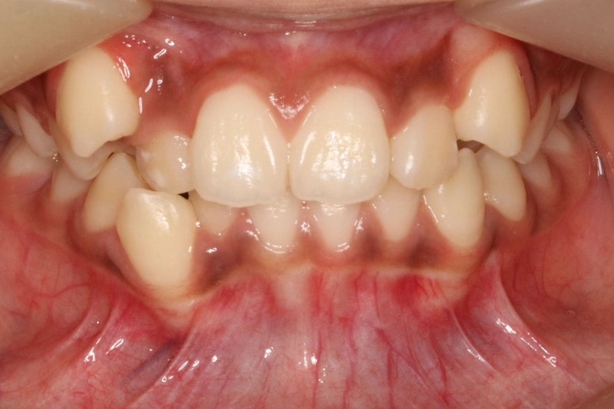
日常生活中,您是否曾因牙齿错乱不齐而未能开怀大笑,是否曾因不美观的牙齿带来的交际不便呢,又是否曾因牙齿咬合不佳而影响咀嚼消化?这些都可能是由于您存在不同程度的错颌畸形,通过正畸可让您的牙齿“重获新生”。

 

 

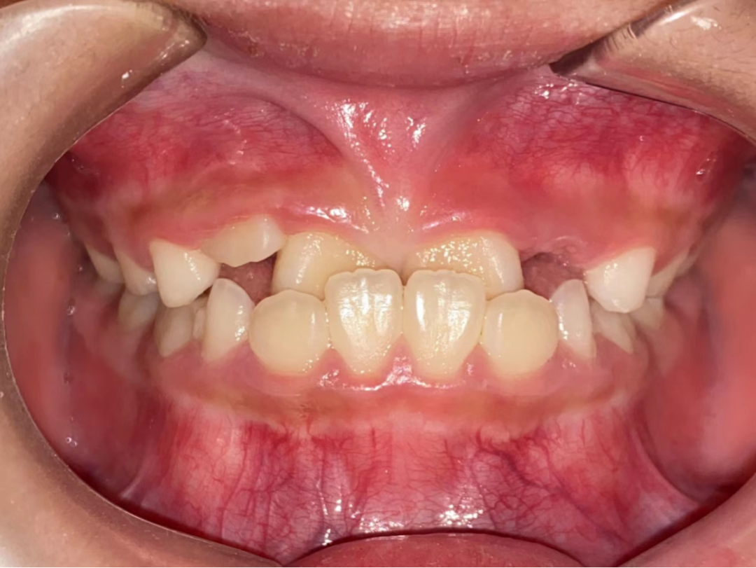
什么是错颌畸形?

错颌畸形是指在生长发育过程中,由先天的遗传因素或后天的环境因素,如疾病、口腔不良习惯、牙齿替换异常等各种原因导致的牙齿、颌骨、颅面的畸形。包括牙齿排列不齐、上下牙咬合关系错乱、颌骨大小或形态异常以及面部畸形等。错颌畸形不仅影响外貌,而且也影响功能。

 

错颌畸形的危害有哪些?

1、影响颅颌面发育:在儿童生长发育过程中,错颌畸形如不及时治疗,就会影响儿童口腔及面部软硬组织的正常发育。例如下牙列位于上牙列外侧,就会妨碍上牙列和上颌骨向前正常发育,导致面中部发育不足,即地包天。

 

 

2、危害口腔健康:排列不齐的牙齿,刷牙时不易清洁,使食物残渣长期滞留在牙间隙、牙龈边缘等处,容易发生龋齿(虫牙),牙龈炎(牙龈出血),严重者可发展为牙周病,造成牙齿松动甚至脱落。

3、影响口腔正常功能:错颌畸形常影响咀嚼功能,影响发音,严重的下颌后缩能影响正常呼吸,引发鼾症,严重的下颌前突可造成吞咽异常等症状。

 

4、影响面部美观:如果牙齿不整齐,微笑时会影响颜面美观,如开唇露齿,上颌前突,下颌前突,下颌后缩,长面型,短面型等都可引起面部不协调。  

    

5、影响全身健康:由于错颌畸形导致咀嚼效能降低,严重者会引起消化不良及胃肠疾病,影响营养吸收,有损身体健康。同时,有些牙合畸形严重影响外貌,造成患者精神上的自卑感和孤僻,甚至造成严重的心理、精神障碍。

 

错颌畸形的矫正方法有哪些?

1、预防矫治。采用各种预防措施来防止各种错颌畸形的发生,是预防矫治的主要内容。儿童出生萌芽后要定期进行口腔检查,早期发现问题早期防止,如龋的早期治疗、口腔不良习惯的早期破除、乳牙早失的缺隙保持以及滞留牙、多生牙的及时拔除等,使通过这些预防可防止错颌畸形的发生。

 

 

乳牙早失导致拥挤

间隙保持器为“新牙”萌出保留空间

2、阻断矫治。当错颌畸形发生的早期,通过简单的方法进行早期矫治,阻断错颌畸形的发展,并引导面部向正常发育方向发展,常称阻断矫治。如早期前牙拥挤(牙弓缩窄等)使用扩弓矫治器矫治,早期牙源性前牙反合使用简单合垫舌簧矫正器矫治。

 

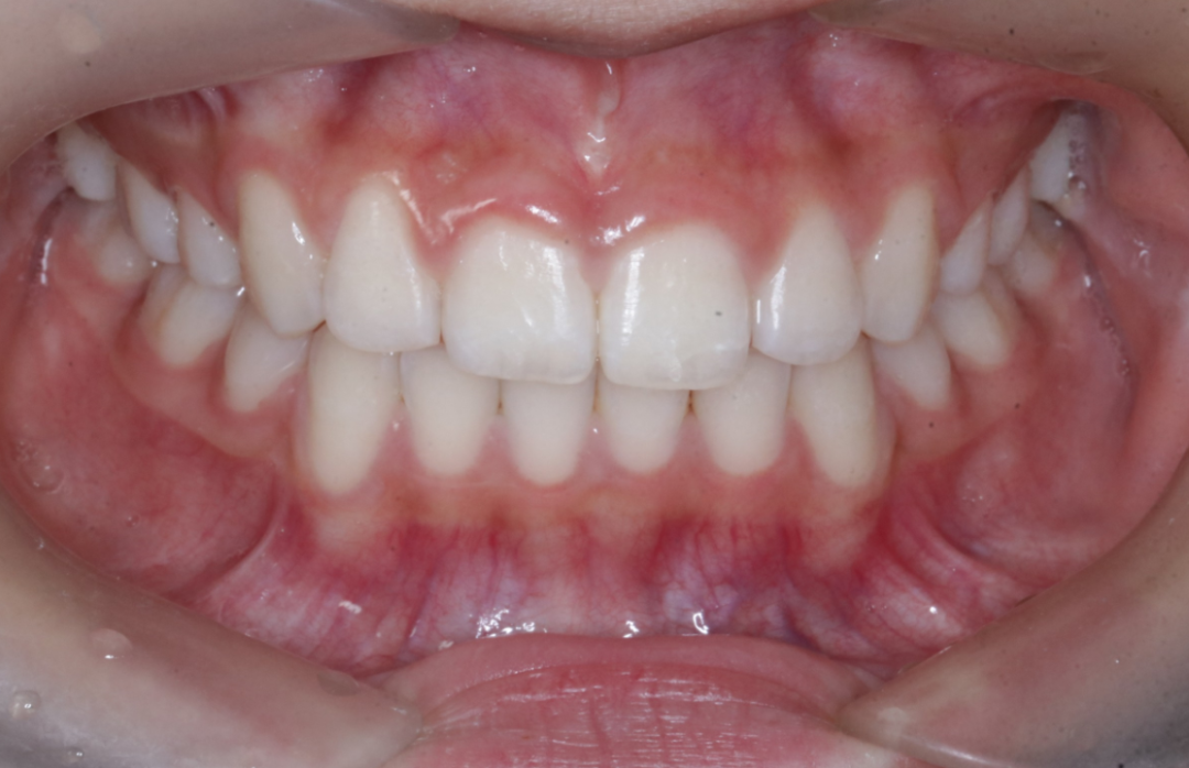
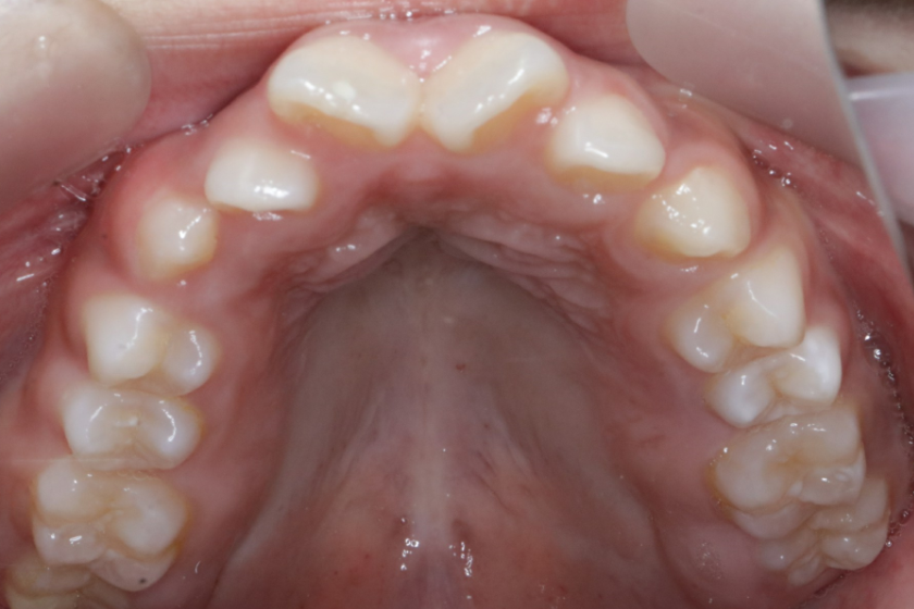
3、一般矫治。根据不同牙颌面畸形选用各类矫治器,一般矫治是口腔正畸矫治中最多见的。如可摘矫治器、功能矫治器、固定矫治器等。近年来,无托槽隐形矫治技术因其美观、舒适的优势渐渐得到人们的青睐,随着口腔正畸医疗技术及材料的不断发展,无托槽隐形矫治技术越来越成熟。目前,大部分错颌畸形可通过无托槽隐形矫治技术纠正。

 

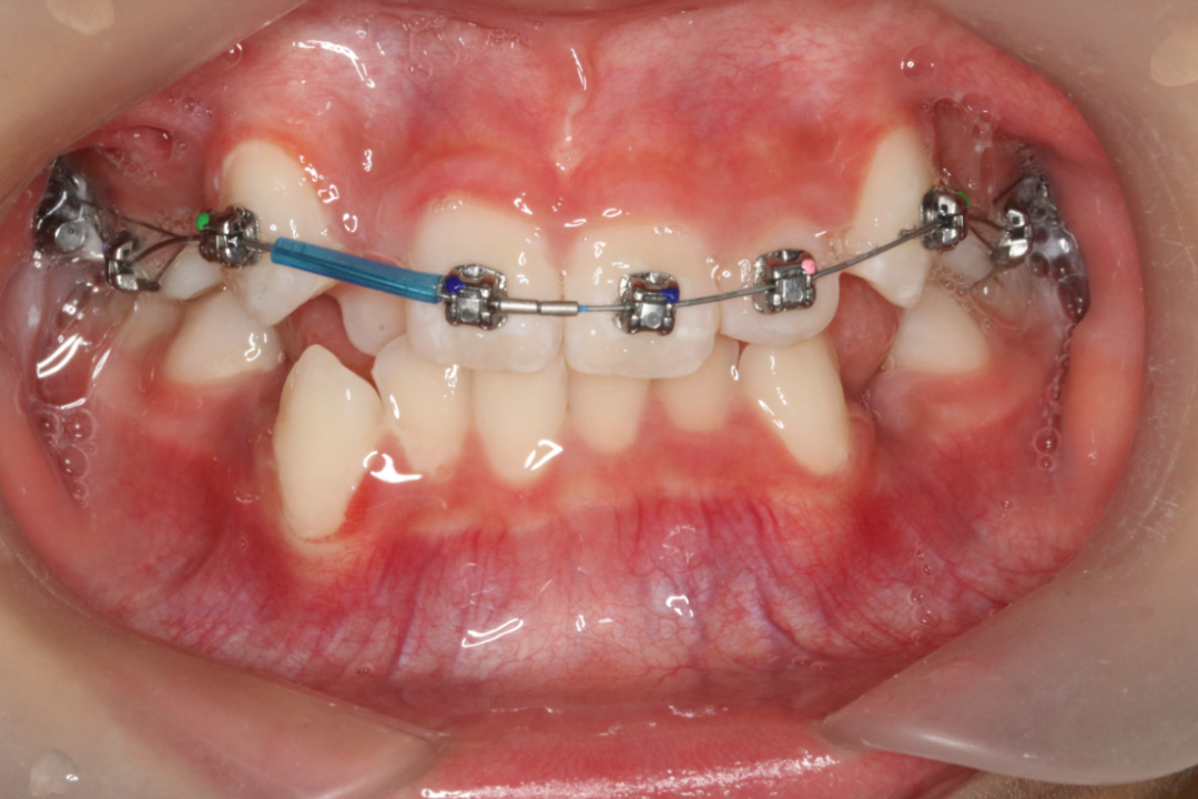
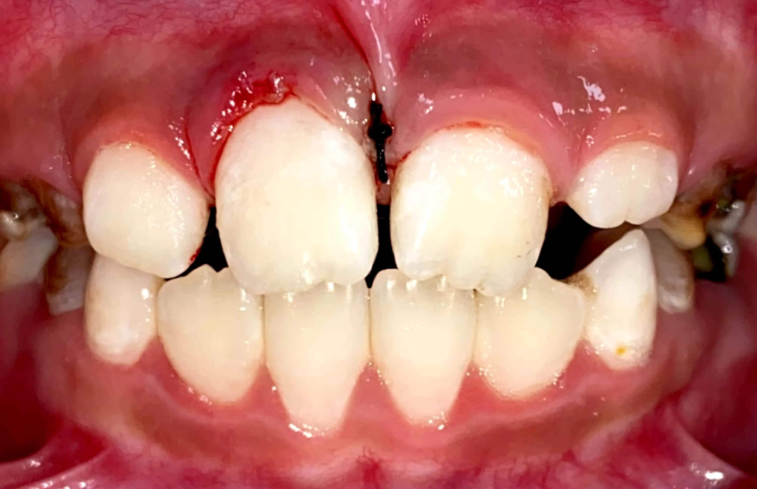
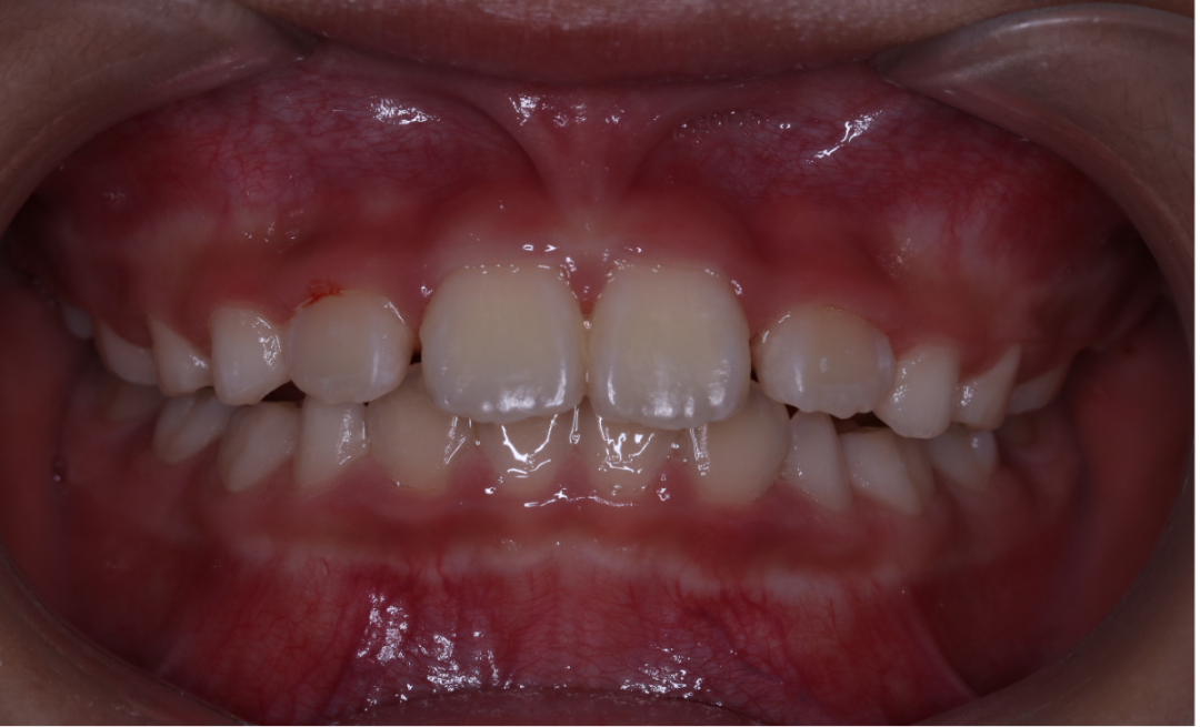
金属自锁托槽矫治技术

 治疗前                        治疗后

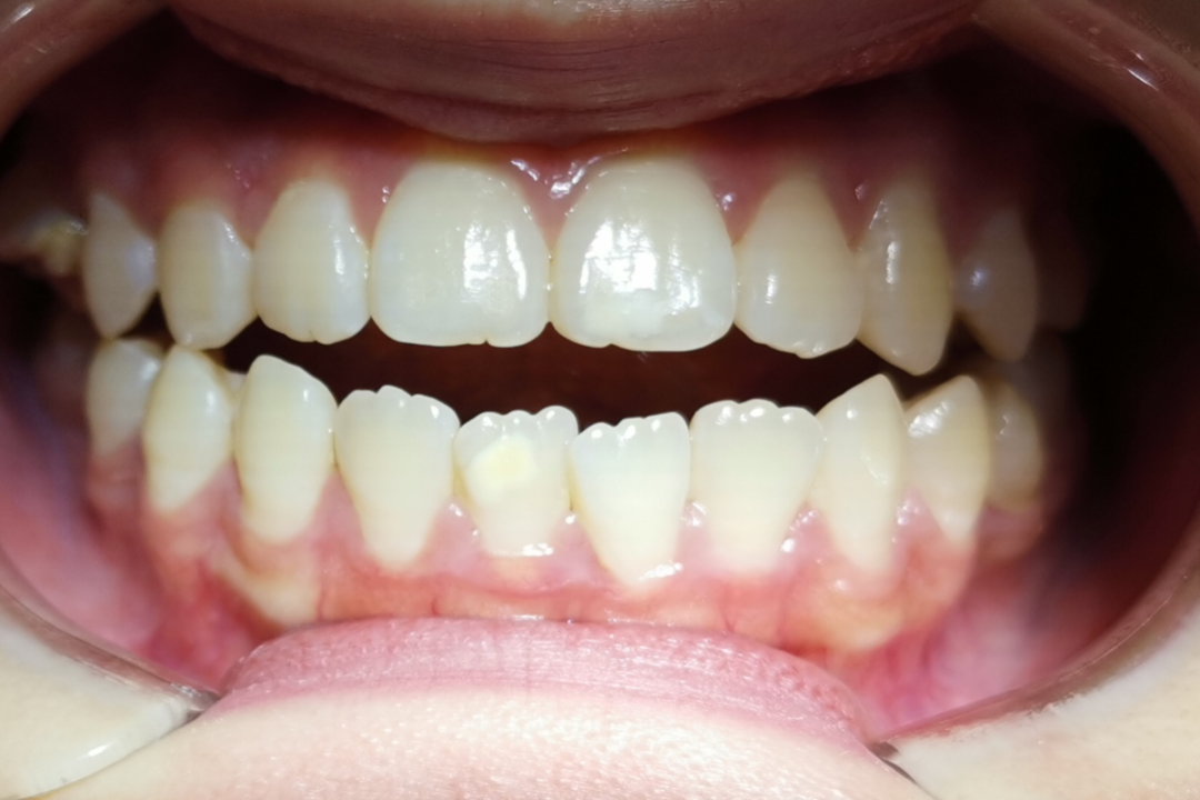
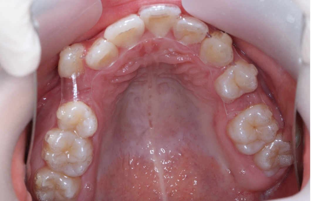
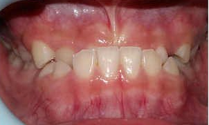
无托槽隐形矫治技术

 治疗前                        治疗后

4、外科矫治。外科矫治是指对生长发育完成后的严重的骨性错合畸形需采用外科手术的方法来矫正其错合,这必须由正畸专科医师和正颌外科医师共同完层,称为正合外科或外科正畸。

 

儿童舒适化诊疗

儿童牙科最大的特点是患儿不能完全有效配合治疗,痛点就在于儿童害怕看牙。有些儿童从进门开始就非常抗拒。有的时候,医生、护士和家长齐上阵,威逼加利诱,甚至还要孩子摁住胳膊腿,才能勉强把治疗做完,如何打造一个孩子不害怕的看牙地方将是解决这个痛点的关键。

 

雁江区儿童舒适化诊疗中心的建立,以个性化口腔健康管理为主导思想,建立儿童口腔健康档案,提供儿童口腔门诊行为管理、无痛诊疗,减轻治疗过程给患儿带来的恐惧、焦虑等负面情绪,优化儿童就诊体验,提高满意度,有效提高患者的依从性,多方式定期口腔卫生宣教,实现儿童口腔状态处于持续稳定健康水平。

 

诊疗范围:儿童口腔学科诊疗涵盖0-16岁儿童龋病的防治、乳牙及年轻恒牙牙髓病根尖周病的诊治、儿童错颌畸形的早期矫治、儿童口腔舒适化治疗(全麻)、儿童牙外伤序列治疗、年轻恒牙活髓保存术、年轻恒牙牙髓再生技术、乳恒牙早失的间隙管理、牙齿发育异常的诊治、儿童口腔不良习惯破除、儿童打鼾症的诊治、唇舌系带异常的诊治、儿童牙周病黏膜病及口腔相关系统性疾病的诊治等。

 

诊疗特色:

01
“改头换面”技术

儿童错合畸形早期矫治是阻断影响儿童颌骨、牙齿正常发育的因素,促进颌面部正常发育,降低II期矫正的难度,减少II期矫正的时间,甚至不需要II期矫正。让孩子早期获得自信,绽放灿烂笑容。

术前→术后
02
“起死回生”技术

“牙髓再生”技术是我科室率先在资阳市开展的生物组织学工程技术,利用自体血液促进仿牙髓组织再次发育,促进年轻恒牙牙根继续发育直至发育完成。相比传统技术,可以有效增加牙根的长度,粗度。

 

根尖炎症导致牙根停止发育

经过牙髓再生技术后,6个月后,根尖炎症消失,牙根长度增加,牙根的厚度增加

03
“铜墙铁壁”技术

很多家长反应小孩补牙材料容易掉,为什么呢?一是因为乳牙质地软,龋坏面积大;二是儿童清洁效果欠佳,饮食偏糖化,容易导致继发龋坏;我科的“乳磨牙预成冠”修复技术可以完美解决这个问题,一劳永逸,完美恢复牙齿形态,提高乳牙咀嚼功能,促进颌骨的发育,而且可以完整保留补牙材料直到乳牙换牙。

乳磨牙缺损较大

预成冠修复后

04
“破镜重圆”技术

牙外伤好发于儿童和青少年,儿童牙齿缺损不仅会影响要牙齿的正常发育,严重者甚至导致牙髓感染,出现牙疼,牙龈肿痛等症状,从而影响牙齿的正常发育;而且牙齿的缺损会影响小朋友在社交中的发音和自信。外伤后不要怕,携带断牙就诊,区医院儿童口腔科会帮您完美复位。

 

除了以上大家比较关注和需要的

正畸、儿童诊疗服务

你是否还被口臭、牙结石困扰?

你家有没有老人需要进行口腔治疗?

 好消息!!!

资阳市雁江区人民医院口腔科

中医口腔门诊

老年口腔门诊

口臭门诊(洁牙门诊)

3月21日正式开诊啦!

有需要可到院咨询问诊~

 

新开设门诊介绍

中医口腔门诊:运用中药治疗复发性口疮、干燥综合症、口腔扁平苔藓、非源性口臭、口干、口苦;牙龈肿痛等疾病;运用中医康复理疗的方法治疗面瘫、三叉神经痛、面肌痉挛、颞颌关节紊乱以及头颈部疼痛等疾病;根据中医治未病的思想,开展三伏灸、三九灸、中药脐疗、调理体质,增强免疫力,对口腔疾病的发生进行提前干预与治疗,制定个性化的诊疗方案。

老年口腔门诊:牙体牙髓相关常见病,多发病,如牙痛,牙齿缺损,牙齿发黄发黑等。拔牙,口唇良性赘生物切除,舌体及黏膜溃疡,牙龈炎及慢性牙周炎的基础治疗等。简单牙列缺损的局部可摘义齿修复等。

口臭(洁牙)门诊:诊治口臭,牙龈出血,牙结石,牙色素,牙周病等。

 

门诊专家介绍
余利军

主任中医师/资阳市名中医

擅长:中西医结合诊治口腔疾病、心脑病、肺病、脾胃病等内科常见病多发病、疑难杂症及亚健康疾病、功能性疾病。并对青春痘、月经不调、痛风、失眠等疾病治疗颇有心得。

周婧  口腔科副主任

硕士学位,擅长:儿童牙体牙髓疾病,年轻恒牙外伤综合性治疗、年轻恒牙活髓保存,儿童颌面部健康管理、儿童早期矫正等。

王浪  主治医师

硕士研究生,毕业于西南医科大学。先后于成都军区机关医院、华西口腔医院及西南医科大学附属口腔医院学习,擅长儿童、成人正畸治疗。

罗明远  主治中医师

擅长:使用中医药治疗口腔疾病、咳嗽、胃脘痛、眩晕、痤疮、不寐、月经病、男科疾病等方面积累了丰富的临床经验,擅长黄帝内针治疗各种疼痛性疾病。

李素兰  主治医师

毕业于广西医科大学,从事口腔临床工作近10年,擅长牙龈出血、各类患牙拔除术,口腔颌面部感染性疾病的诊治。

王凯  执业医师

本科学历,医学学士。毕业于杭州师范大学,后于常州市第二人民医院参加住院医师规范化培训。擅长口腔内科相关常见病,多发病的诊疗,及拔牙,阻生智齿拔除,唇舌及颜面部囊肿的门诊手术治疗等。

专业的人做专业的事

在牙齿矫正的过程中

我们一定要选择合适的牙医

进行专业的咨询和检查~

口腔科介绍

资阳市雁江区人民医院口腔科,原是由华西医大口腔医院辅导的资阳市口腔专科医院,现有医护人员40名,其中硕士8名,本科20名,大专8名,副主任医师1名,主治医师16名。现设有口腔种植科、口腔内科、口腔外科、口腔修复科、口腔正畸科、口腔预防保健科、儿童口腔科、牙周病科、口腔黏膜科、口腔放射科等科室,配备有先进的综合治疗机、低辐射的X光机、口腔全景片机,数字化DR机,口腔CBCT机,超声波洁牙机、种植机等专业设备。

 

 

服务承诺

“口腔健康,全身健康”

解决口腔疾病,呵护牙齿健康

我们一直在努力!

 

特色诊疗
口腔种植术

资阳地区首家自主开展口腔种植术的医院,率先引进瑞典NO-BEL,西班牙MOZO-GROU,美国Bio-Horizons,韩国MEGAGEN等种植系统满足不同患者对种植的不同需求,开展各类骨增量技术,GBR技术等口腔的高精尖技术项目。

牙体牙髓病科

大规模、广覆盖推广应用现代根管治疗技术,热牙胶充填技术,积极带动和促进我市口腔医疗技术进步,对提高根管治疗质量和牙齿保存率有重要意义,引进前沿的牙周深度治疗仪及治疗技术,更好更舒适地解决了牙龈出血、口臭等牙周疾病。

口腔外科

率先在本市开展起了微创拔牙,使用美国进口的特殊微创拔牙器械,具有伤口小,愈合快,无痛、快速等特点,并开展了心电监护下拔牙等技术,为患者提供更安全的诊疗服务。

儿童口腔科

率先成立儿童口腔科,专科专治,解决儿童口腔各类问题,呵护小孩口腔健康

 

3月专家坐诊详情

 

无论你是正在考虑牙齿矫正的朋友

还是已经开始矫正之旅的"战友"

在这个世界口腔健康日

让我们一起关注口腔健康

享受美好生活!

本文整理自资阳市雁江区人民医院口腔科
部分图片来源网络

 

本文由用户发表,为作者观点,不代表九曲河立场
支持楼主

9人支持

阅读原文 阅读 140947 回复 17
举报
全部评论
  • 默认
  • 最新
  • 楼主
  • 霸道[SHEN.X.S) LV14 三贤七品
    2楼
    这是一个好消息,但不知道是在老区还是在沱东
    3-20 20:01 · 四川
    回复
  • 霸道[SHEN.X.S) LV14 三贤七品
    3楼
    现在老城区的居民看病太方便了
    3-20 20:02 · 四川
    回复
  • 霸道[SHEN.X.S) LV14 三贤七品
    4楼
    老城区几家医院都人过楼空
    3-20 20:03 · 四川
    回复
  • 穆里尼奥 LV10 三贤状元
    5楼
    区医院看牙齿是很厉害
    3-20 20:48 · 四川
    1 回复
  • 风雪夜归人 LV14 三贤七品 回复达人
    6楼
    区医院看牙齿是很厉害
    3-21 23:40 · 四川
    回复
  • 落羽神恋曲 LV15 三贤六品 回复达人
    7楼
    二医院不错
    3-21 23:46 · 四川
    回复
  • 落羽神恋曲 LV15 三贤六品 回复达人
    8楼
    好消息!
    3-21 23:47 · 四川
    回复
  • 血雨腥风 LV14 三贤七品
    9楼
    口臭(洁牙)、老年口腔、中医口腔门诊即将开诊
    3-22 13:51 · 四川
    回复
  • 血雨腥风 LV14 三贤七品
    10楼
    二医院不错
    3-22 13:51 · 四川
    回复
  • 封狼居胥 LV14 三贤七品 点赞达人
    11楼
    谢谢告知
    3-22 14:01 · 四川
    回复
你的热评
游客
发表评论
最热资阳圈
  • #河马,领满勤奖啦#

    蛇我其谁

    1
  • 天天签到,领取专属福利#签到打卡#

    未佬的佬人

    1
  • o∩龙∩o

    0
  • #河马,领满勤奖啦#

    Vex

    0
  • #河马,领满勤奖啦#

    四夕莉

    0
热点推荐

安装应用

摆资阳龙门阵,结交新朋友

免费下载九曲河门户网
这是app专享内容啦!
你可以下载app,更多精彩任你挑!
绑定手机才能继续哦!
绑定手机账号更安全哦!
绑定手机才能继续哦!
绑定手机账号更安全哦!